Date: Thu, 26 Jul 2001 01:19:18 +0600

Subject: Proximal femoral and ipsilateral acetabular injury

Hello all,

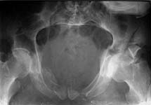
A 45 years old male admitted to us a couple of weeks ago, 5 days after a car crash, with multiple injuries, including severe pelvis and acetabular lesion, and ipsilateral subtrochanteric fracture (see attachment - sorry i put the only view but IMHO all relevant to the question can be seen), and full pattern of fat embolism and ARDS. So the only surgery performed on admission was a pelvic frame with femoral extension, and since the moment he has been ventilated in ICU. He is still not ready to major open surgery for the acetabulum, tomorrow he is sheduled to closed nailing of the humerus and both ulnae.

The question is about the femoral fracture - should it be open and fixed along with acetabulum, or it makes sense to perform less invasive fixation like closed Ender nailing (hello to Bill Burman - i found few rectangular 5x5mm titanium rods), and go for the acetabulum when his condition allows, if needed, with usual osteotomy of the greater trochanter. Or the femoral fracture can help to expose the acetabulum so has to be fixed after it?

THX in advance.

Best regards,

Alexander N. Chelnokov
Ural Scientific Institute of Traumatology and Orthopaedics
str.Bankovsky, 7. Ekaterinburg 620014 Russia


Reply at: Orthopaedic Trauma Association forum

Date: Wed, 25 Jul 2001 14:22:14 -0500

From: Adam Starr

Hi Alex,

I would fix both fractures at the same time, provided the patient's condition allowed it.

It sounds like you may be in for a long case. If he's been in your hospital for a "couple of weeks" already, he probably has laid down a fair amount of callus. Good luck.

Adam Starr
Dallas, Texas


Date: Thu, 26 Jul 2001 02:19:54 +0600

From: Alexander Chelnokov

Hello Adam,

AS> I would fix both fractures at the same time, provided the patient's condition allowed it.

Why? Will loose fragments of the femur be really helpful for access to the acetabulum?

AS> hospital for a "couple of weeks" already, he probably has laid down a fair amount of callus. Good luck.

I ask because his femur in ex-fix looks pretty aligned and i feel itch in hands to atraumatially nail it through the medial condyle, because nobody knows when he will be mature enough to a major surgery. ORIF of the acetabulum as well as of the femur are major surgeries each, so if there is a chance to perform a less invasive procedure instead of one of them - why not?

Best regards,

Alexander N. Chelnokov
Ural Scientific Institute of Traumatology and Orthopaedics
str.Bankovsky, 7. Ekaterinburg 620014 Russia


Date: Wed, 25 Jul 2001 15:18:21 -0500

From: Adam Starr

If you choose to put off ORIF of the acetabulum, and you go ahead with femoral nailing, I would use a retrograde approach. You don't want to mess up your approach to the acetabulum with an incision to place the nail.

Adam


Date: Thu, 26 Jul 2001 02:35:46 +0600

From: Alexander Chelnokov

Hello Adam,

AS> If you choose to put off ORIF of the acetabulum, and you go ahead with femoral nailing, I would use a retrograde approach.

I wrote that we discuss something like Ender nailing, with elastic nail insertion above medial condyle. Would you bless this plan?

Best regards,

Alexander N. Chelnokov
Ural Scientific Institute of Traumatology and Orthopaedics
str.Bankovsky, 7. Ekaterinburg 620014 Russia


Date: Wed, 25 Jul 2001 17:28:49 -0400

From: Kevin Pugh

The key piece of information missing is what the acetabulum fracture looks like...then you know the incisions required...and can plan from there. This would be project number one. The patient has ramus fractures as well...is the posterior pelvic ring intact? Retrograde nailing of this fracture is a lousy idea. It is subtroch and comminuted. An antegrade nail could be locked into the intact lesser trochanter, but there is not much bone...and I would prefer a cephalomedullary nail. Give us more information

Would you bless this plan?

Adam is smarter than to bless this plan.kp

KP

Kevin J. Pugh, MD
Chief, Division of Trauma
Department of Orthopaedics
The Ohio State University


Date: Thu, 26 Jul 2001 17:50:20 +0600

From: Alexander Chelnokov

Hello Kevin,

KP> Adam is smarter than to bless this plan.

ROTFL. And maybe he's right.

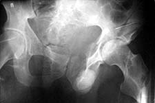
Today his left humerus and both ulnae were nailed. All closed. I attach two more images of the pelvis (inlet and Judet - i failed to find plain AP view). As his doctor told, he also has bilateral sciatic palsy, and severe calcaneus fracture. Anesthesologists tell that he will be ready for acetabular surgery not earlier than in a month. :-( He is in an external fixator with femoral extension. If femoral fragments looks aligned, and anyway fixator stays in place until the acetabular surgery, and maybe later, the femoral nailing today is probably for nothing.

Best regards,

Alexander N. Chelnokov
Ural Scientific Institute of Traumatology and Orthopaedics
str.Bankovsky, 7. Ekaterinburg 620014 Russia


Date: Thu, 26 Jul 2001 10:20:42 -0500

From: Adam Starr

Hi Alex.

I suppose you could run a bunch of Ender's nails up the femur, into the neck and get some stability that way. I've never done it, but I guess you could. My experience with Enders nails is limited to pediatric cases, where they work well. In adults, the bone takes longer to heal, and I think it would be harder to get stability with a device that isn't locked. I think you should treat this guy with a more rigid device - a statically locked nail.

My preference would be to fix both fractures at the same time. Best I can tell from the single view, this guy has a complex acetabular fracture. He's several weeks out. Here in Dallas, we'd use an extensile approach to fix him. I think it goes without saying (but I'll say it anyway) that you need to try to get an anatomic reduction of the acetabulum. I think it's gonna be tough to do that 3 or 4 weeks out from injury.

At the time of the acetabular fx repair, I would fix the femur. He's got a subtrochanteric fracture, but it looks like the lesser troch is intact. You could TRY to use a standard nail with an oblique locking screw - from the greater into the lesser troch - but I think you'd get better stability if you used a nail that had screws going up into the neck. Like a recon nail, or a long gamma nail or long IMHS.

It is possible to use a retrograde approach to nail very proximal femur fractures. We've done a couple of them here. It is possible to place the nail very proximal in the femur. You can cram them all the way up to the piriformis fossa. But, I'm not sure you need to do that here.

My vote would be to repair the acetabulum, and then nail the femur at the same time. I'd prefer to use a recon nail to fix the femur.

Adam


Date: Thu, 26 Jul 2001 11:57:00 -0700

From: Chip Routt

Hello Alex-

Could you explain -

1. Why he was in satisfactory condition for the humerus and ulnar operation/anesthetic, but not for a definitive femoral stabilizing procedure instead?

2. The pelvic pin sites, especially the left sided pins-their location/stability/contamination potential/need/and function?

3. Why "one month - :( " is required until acetabular operation? Can your anesthesia team predict his course that accurately?

Thanks-

Chip Routt, M.D.


Date: Thu, 26 Jul 2001 16:27:07 -0400

From: Kevin Pugh

Alex,

Chip makes some good points.

Why is he able to get his upper extremities nailed, but his lower extremities are not ready for a month? Femoral nailing can be a relatively noninvasive procedure. If you have to wait for a month to do his acetabulum, the wound for an antegrade nail would be long healed. Are we are missing some information regarding his medical condition? His preop resuscitation/anesthesia evaluation makes no sense.

Your fixator pins may burn some bridges for you in terms of approach for the acetabulum. This is clearly a complex acetabular fracture, and an extensile approach or more than one non-extensile approach may be required. I can't tell at this point, because you haven't supplied us with an adequate radiographic evaluation (2 Judet views, an AP pelvis and a CT scan). The inlet is helpful, but at first look, this appears to be an acetabular fracture, not a pelvic ring injury.

Waiting for this long period of time will make the fixation of the acetabulum very difficult. The clot will be organizing, the bone will be soft etc. The calcaneus, if it requires fixation, will also be difficult to do in a month. And, if you can get the bone done well, it may be hard to close the wound.

Has the case already been done? Many times you post cases which are finished already. What gives?

KP


Date: Fri, 27 Jul 2001 19:08:44 +0600

From: Alexander Chelnokov

Hello Chip,

CR> 1. Why he was in satisfactory condition for the humerus and ulnar operation/anesthetic, but not for a definitive femoral stabilizing procedure

Because the surgeries were quick and low invasive. No blood loss, no large incisions. Definitive femoral options available here are blade plate, ex-fix, and the improvized Ender-like nails which we have no experience with. The main reason to postpone the procedure is that its benefit for now is unclear - he still would be left in the external fixator with femoral extension to unload the acetabulum. And one more big problem - he still has excessive contaminated skin necroses in sacral area which appeared yet before admission to our facility.

CR> 2. The pelvic pin sites, especially the left sided pins-their location/stability/contamination potential/need/and function?

Maybe something can be cleared with the attached image.

CR> 3. Why "one month - :( " is required until acetabular operation? Can your anesthesia team predict his course that accurately?

He is still severe, polyorgan deficience has not been solved completely, now polyuria is present; amilase increased in 3 times, severe nutritive deficience and so on. They say it requires some weeks before a major surgery with blood loss can be safe enough.

Best regards,

Alexander N. Chelnokov
Ural Scientific Institute of Traumatology and Orthopaedics
str.Bankovsky, 7. Ekaterinburg 620014 Russia


Date: Fri, 27 Jul 2001 19:07:53 +0600

From: Alexander Chelnokov

Hello Kevin,

KP> Why is he able to get his upper extremities nailed, but his lower extremities are not ready for a month? Femoral nailing can be a relatively noninvasive procedure. If you have to wait for a month

We have no industrial nails suitable for the fracture like gamma nail or reconstructive, or locking bolts which are inserting through the neck. We could only improvize with Ender-like nails. But we've never done this and the patient doesn't require the femoral fixation so extremely to perform it now.

KP> Your fixator pins may burn some bridges for you in terms of approach for the acetabulum.

There is no signs of infection around pin sites.

KP> approach may be required.

Y-like is presumed.

KP> an adequate radiographic evaluation (2 Judet views, an AP pelvis and a CT scan).

Sorry for this, but i failed to find some films. CT is not available because he must be transported to another building for this.

KP>The inlet is helpful, but at first look, this appears to be an acetabular fracture, not a pelvic ring injury.

He has two column fracture with wing extension, but also a posterior ring injury.

KP> Waiting for this long period of time will make the fixation of the KP> acetabulum very difficult. The clot will be organizing

Of course we are aware about this. But anesthesiologists predict high risk of ARDS recurrence and other terrific thngs.

KP> Has the case already been done? Many times you post cases which

No, the case is in progress. A resuscitation guy just visited our staff room with news that sepsis is suspected in the patient...

Best regards,

Alexander N. Chelnokov
Ural Scientific Institute of Traumatology and Orthopaedics
str.Bankovsky, 7. Ekaterinburg 620014 Russia


Date: Fri, 27 Jul 2001 09:15:33 -0700

From: Chip Routt

Wow, good luck to him.

Chip


Date: Sat, 28 Jul 2001 18:00

From: Bill Burman

Alex

You have shown an interesting iliofemoral external fixation.

Would it be possible to provide a schematic drawing of pin placement, frame construction and an idea of how long this takes to apply? Do the anterior pelvic pins traverse the wing extension of the both column fracture? Is there an xray in the frame? Thanks in advance for what info you can provide.

FYI, Mears and Fu Clin Orthopaedics & Related Research 151:68 (1980) reported a similar frame

which was used to treat the following case:

"Case 3. A 30-year-old woman sustained multiple injuries from a fall of 25 feet while she was cleaning windows. She suffered a grossly comminuted pelvic ring fracture, a fracture of the right acetabulum, facial lacerations and a fracture of the right navicular. Three days after the insult, a Hoffmann external fixation device was applied to stabilize both the pelvic and the acetabular fractures.

One week after placement of the device, open reduction and internal fixation of the acetabulum was carried out. Postoperatively, the patient developed bilateral thrombophlebitis, which was treated with heparin followed by coumadin. She was out of bed 4 weeks after injury and was discharged at six weeks with the external fixation device. She remained essentially pain free throughout the postoperative period. She was readmitted at 12 weeks postinjury. Upon removal of the Hoffman device, she started gait exercises. At 6 months postinjury, she was able to resume full daily activity. A tomogram of the right hip at 18 months shows good alignment of the acetabular surface. Subsequently, she has enjoyed pain-free hip motion with 90 degrees of hip flexion."

Bill Burman, MD
HWB Foundation