Date: Fri, 18 Jan 2002 18:29:25 +0500

Subject: Elbow injury

Hello All,

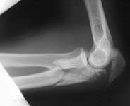
A manual labourer admitted to our unit couple of days afer a train accident with the open injury.

The wound is small, debrided in the initial hospital and shows no signs of infection at the moment.

As a first step an external fixator applied yesterday, with percutaneous screw fixation of the lateral epicondyle.

If no signs of infection he is ready for further procedures within few days. What plan is optimal for the case? Attempt of open reduction of the "mosaic" and plating? Early functional treatment without open procedures? Reinsertion of olecranon and small fragment removal? Total elbow replacement?

THX in advance.

Best regards,

Alexander N. Chelnokov
Ural Scientific Institute of Traumatology and Orthopaedics
str.Bankovsky, 7. Ekaterinburg 620014 Russia


Reply at: Orthopaedic Trauma Association forum


Date: Mon, 21 Jan 2002 06:37:23 -0500

From: William Obremsky

The olecranon is certainly comminuted, but if the wound is small all the pieces should be there. I would favor an attempt at ORIF w/ plating to reconstruct as much as possible. He is a young laborer and should have good bone quality.

The attached case was similar, but not quite as comminuted.

Injury:

3 months post-op:

Bill Obremskey MD
Univ. of North Carolina


Date: Fri, 25 Jan 2002 07:51:55 -0700

From: Thomas A. DeCoster

Regarding this patient with distal humerus fracture, proximal ulna fracture , open with elbow joint subluxation. The ulna is extremely comminuted but plating can be effective in such a situation as illustrated in the previous reply. I wonder if the articulated ring fixator or Oganesyan would be a good option in your setting.

As a small note, the threads of the lag screw in the distal humerus may cross the fracture line and this kind of single screw fixation can be tenuous, even if supplemented by external fixation.

tom decoster