Date: Wed, 27 Mar 2002 09:19:33 +0500

Subject: Femoral Neck Nonunion

Hello All,

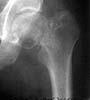
A miner 38 y.o. referred to us with 5 months old femoral neck lesion - after direct impact by a heavy construction he probably had non-displaced neck fracture. 3 months of spica cast, then non-weight-bearing. AP view and CT scan attached. Looks like AVN is present. ROM is painless and full, loading is also painless.

What would be optimal for the case? Osteotomy - McMurray or valgus? Osteosynthesis with core decompression? THR? Something else?.

Best regards,

Alexander N. Chelnokov
Ural Scientific Institute of Traumatology and Orthopaedics
str.Bankovsky, 7. Ekaterinburg 620014 Russia


Reply at: Orthopaedic Trauma Association forum

Date: Wed, 27 Mar 2002 09:34:43 -0600

From: Marc F. Swiontkowski, M.D.

recommend Valgus osteotomy as reported by Marti et al JBJS Br 1989

AVN was not necessarily related to a poor functional outcome


Date: Wed, 27 Mar 2002 12:51:06 +0000

From: Edward Harvey

I agree with Marc- this is what I have been doing. There is the option of a free vascularized fibular graft. There has been at least one report by the Duke group (not published yet) of 20 patients with femoral neck nonunion that have been treated with success in this manner. It doesn't change the mechanics of the hip or gait and allows for easier revision to Total hip arthroplasty.

Edward J Harvey MDCM FRCSC
McGill University
Department of Orthopaedic Surgery
Hand and Microvascular/ Trauma
Montreal QC Canada