Date: Thu, 20 Jun 2002 21:31:44 +0600

Subject: Femoral nail failure

Hello All,

A mail 27 y.o. was operated Apr 2, 2002 2 weeks after injury (impact by a heavy construction) - he had open Gustilo II distal femoral fracture (image 1). Antegrade closed nailing by UFN 11 mm was performed (image 2). The second leg was amputated above the knee at the initial hosptial. To provide early weight bearing 6 mm locking screws were used so sll static holes were drilled accordingly. 2 months after the surgery he started to load the limb, before only knee ROM excersises were perfomed. The cyclic loadings produces stress riser and the nail was broken 10 days ago (image 3). Now he admitted to us again. It is the first case of such complication we meet. Now i plan to push the broken fragment distally and then perfrom retrograde nailing by UFN (distal femoral nails are not available in my settings). If the attempt would be too complicated we'll change to XF. Or plating is a good option here?

THX in advance.

Best regards,

Alexander N. Chelnokov
Ural Scientific Institute of Traumatology and Orthopaedics
str.Bankovsky, 7. Ekaterinburg 620014 Russia


Reply at: Orthopaedic Trauma Association forum

Date: Thu, 20 Jun 2002 09:24:23 -0700 (PDT)

From: Zsolt Balogh

Hi Alex,

To provide early weight bearing 6 mm locking screws were used so sll static holes were drilled accordingly.

The locking "screws" (bolt is a better term) has nothing to do with earlier weight bearing! The weightbearing determined by the fracture pattern and the bony interfaces after reduction, not by the number of bolts and the type (static or dynamic) of bolts.

How many distal holes are on your IMN?

Thanks,

Zsolt


Date: Thu, 20 Jun 2002 14:54:57 -0500

From: Adam Starr

Hi Alex,

This is one of those cases where the answer I'd use here in the USA is probably not the answer you'll be able to apply where you are.

I would do my best to remove the broken nail and screws through the original, antegrade incision. I'd try to spare the knee joint, if at all possible. It is hard to retrieve broken nails, especially when the broken piece is so far distal, but it is not impossible.

There are several articles in the literature with tips on how it can be done. If you are going to continue using nails (and I think you should, since they work well) you'll have to get used to taking broken ones out every now and then.

Once I got the old hardware out, I would plate the fracture and bone graft it. A blade plate would be the strongest device to use. But, I think I would choose a LISS plate, or a locking condylar plate. These plates have threaded screw holes that lock into threads on the screw heads. Once the screw is seated, you have, in effect, a mini-blade plate at each screw.

You can read a bit about it here: http://www.aodialogue.org/Dialogue/1_01/PDF%20Folder/LCP.pdf

Far as I know, nobody has published anything about the use of the LISS or other locking plates in the treatment of a large series of femoral nonunions. But, there are lots of surgeons here and in Europe using the locking plate systems like crazy, so I'm sure someone will have a series soon.

There was a great article recently in JOT (Bellabarba et al., 16:287-296) about the treatment of supracondylar nonunions using indirect reduction and plating.

In that article, the authors reported the use of 95 degree blade plates, condylar buttress plates and a few locking condylar plates. They stressed the importance of doing as little dissection as possible, to avoid devitalizing the bone. Bone grafting was used in atrophic nonunions, if I remember correctly.

I think the locking plates make sense, because the usual method of failure for the old style plates is for the screws to loosen, toggle, and pull out, or to break at the screw neck. That doesn't seem to be a problem with the locking screw technology.

The problem with the LISS is that you have to get the reduction BEFORE you place the plate on the bone (at least Synthes says you do). Since this fracture is not that old, you might still be able to reduce it.

The other downside to the LISS in the treatment of nonunions is that the plate doesn't allow for compression. It may be that if you got good stability without devitalizing the periosteum, the fracture would go ahead and heal, without compression at the fracture site. I'm not sure. Probably one of the surgeons doing lots of LISS plates, or locking plates, will tell us in the future.

I don't know if locking plate technology is available to you. If so, great. If not, then I think the most reliable way to get union would be to use a blade plate and bone graft. Presumably, blade plates are available to you.

I'm sure there are retrograde nail enthusiasts who'll recommend retrograde nailing. I think a plate will allow you to restore anatomy better, give you better fixation, and allow compression across the fracture better than a nail will. Especially a narrow, unreamed nail.

Good luck with it.

Adam Starr
Dallas, Texas

Date: Thu, 20 Jun 2002 17:39:00 -0400

From: James Carr

I agree with Adam's comments re removal. Zimmer makes a nice broken nail removal set. Also has a nice procedure manual with it. The key is to ream the proximal part bigger. I personally would replace the nail from above with a 2-4 mm bigger diameter and leave it unlocked proximally. Distal retrieval is possible, and in your situation may be more feasible, but I would fear a big hole in the cartilage. I still would replace with a nail no matter the approach.

James B. Carr, MD
Palmetto Health Orthopedics


Date: Thu, 20 Jun 2002 18:23:18 EDT

From: TRToal

There's actually some literature on size, number and configuration of locking bolts with regard to fatigue in immediate weight bearing:

J Bone Joint Surg Am 1999 81: 1538-44

Tom Toal


Date: Fri, 21 Jun 2002 08:05:50 +0530

From: DR T I GEORGE

Alex,

distal femoral nails are not available in my settings.

I know of one or two occassional Surgeons who would use a tibial nail as retrogrde femoral nail. (No study available on this from what I know.) I wonder whether this could be an option for you.

DR T I GEORGE,
Consultant Orthopaedic surgeon,
Polytrauma, Microvascular Surgery and Hand Surgery Unit,
Metropolitan Hospital,
Trichur, South India.


Date: Fri, 21 Jun 2002 16:22:39 +0600

From: Alexander Chelnokov

Hello Zsolt,

ZB> The locking "screws" (bolt is a better term)

Bolt in Russian is a threaded rod with head and nut.

ZB> has nothing to do with earlier weight bearing! The weightbearing determined by the fracture pattern

See ROBERT J. BRUMBACK, THOMAS R. TOAL, M. SIOBHAN MURPHY-ZANE, VINCENT P. NOVAK, and STEPHEN M. BELKOFF Immediate Weight-Bearing After Treatment of a Comminuted Fracture of the Femoral Shaft with a Statically Locked Intramedullary Nail, J Bone Joint Surg Am 1999 81: 1538-44

ZB> How many distal holes are on your IMN?

Two.

Best regards,

Alexander N. Chelnokov
Ural Scientific Institute of Traumatology and Orthopaedics
str.Bankovsky, 7. Ekaterinburg 620014 Russia


Date: Fri, 21 Jun 2002 06:49:26 -0700 (PDT)

From: Zsolt Balogh

Hi Alex,

Thanks for bringing up the JBJS paper!

It is one of the basic references I think everyone of us keep in mind.

The basic sience part of it shows, that the failure is usually at the distal nail/screw interfaces. Usually the screw breaks of course. It may be not true for cyclic loading, but if you increase the strength of the screw more likely that the nail will fail...

The clinical part of the study (28! patients) has less practical relevance. But it is clear from their design, that fractures extending within 12.5 cm of the knee joint were excluded! Your case I think would have been excluded from this study.

But anyway all these could be empty reasoning, looking at your x-rays the your reconstruction was superb. And usually we are happy and relaxed if we have such post-op x-ray, they heal in 99% of the cases. Bad luck here...

I would recommend to carry on with IM method.

Best Regards,

Zsolt


Date: Thu, 27 Jun 2002 17:47:53 -0600

From: Thomas A. DeCoster

Regarding broken antegrade femoral nail in distal femur delayed union. I think your plan is a good one. I don't know how easy it will be to push the nail out but if you make the entry site for retrograde nail you ought to be able to lead it out without excessive cartilage damage. I would chose retrograde nailing over plating in this setting.

Tom DeCoster


Date: Mon, 1 Jul 2002 18:03:01 +0600

From: Alexander Chelnokov

Hello All,

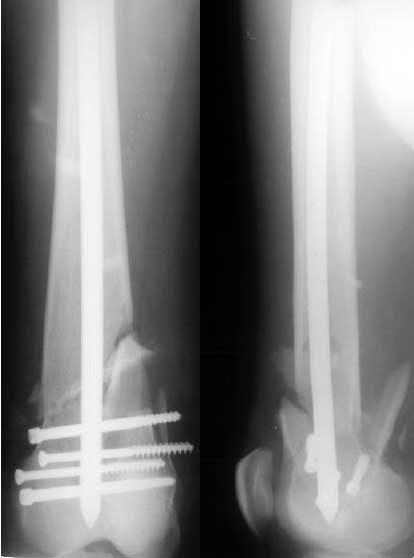
THX for the valuable suggestions about the subject. Actually we don't have a set for broken implant retrieval through the antegrade incision. So as we planned the piece was pushed out distally and the nail was replaced by the same but inserted from below. I locked it statically at the moment. Comments are welcome.

Best regards,

Alexander N. Chelnokov
Ural Scientific Institute of Traumatology and Orthopaedics
str.Bankovsky, 7. Ekaterinburg 620014 Russia


Date: Mon, 1 Jul 2002 19:36:16 +0530

From: DR T I GEORGE

Alexander,

You said: " but inserted from below. I locked it staticallyat the moment."

I have a query. From the pictureit looks as if you used the usual proximal end as the distal end of nail. This means that you would have got the help of the zig to lock the distal end(near the knee). If this is correct how did you lock the holes near the trochanter?

DR T I GEORGE,
Consultant Orthopaedic surgeon,
Polytrauma, Microvascular Surgery and Hand Surgery Unit,
Metropolitan Hospital,
Trichur, South India.


Date: Tue, 2 Jul 2002 16:31:26 +0600

From: Alexander Chelnokov

Hello Dr. George

DTIG> you would have got the help of the zig to lock the distal end (near the knee). If this is correct how did you lock the holes near the trochanter?

I didn't use the jig in the case. All screws were inserted using a self-made "radiolucent drill bit". I mentioned this before - tip of 2 mm wire is flattened to 3.5 mm and sharpened. It can be positioned over the hole using a plastic handle (see attached images). The one is made from a toy of my son :-) The technique works fine for me.

Best regards,

Alexander N. Chelnokov
Ural Scientific Institute of Traumatology and Orthopaedics
str.Bankovsky, 7. Ekaterinburg 620014 Russia


For further information see broken nail extraction discussion from Orthopaedica Belgica.