1: Clin Orthop  2002 Jun;(399):78-86 

Ipsilateral femoral neck and shaft fractures: complications and their treatment.

Watson JT, Moed BR.

Department of Orthopaedic Surgery, University Health Center 7-C, Wayne State
University School of Medicine, 4201 St. Antoine, Detroit, MI 48201, USA.

An ipsilateral femoral neck fracture occurs in approximately 6% to 9% of all
femoral shaft fractures. Despite this relatively common presentation,
decision-making often is difficult. Furthermore, the risk for complications is
greater in the treatment of this combination injury pattern than for
single-level fractures. A retrospective review of the authors' large trauma
database revealed 13 patients who had healing complications develop after their
index surgical procedure. Six of the eight (75%) femoral neck nonunions
occurring in these 13 patients developed after the use of a second generation,
reconstruction-type intramedullary nail. Factors contributing to nonunion of the
femoral shaft were the presence of an open fracture, use of an unreamed, small
diameter intramedullary nail, and prolonged delay to weightbearing. The femoral
neck nonunions healed after either valgus intertrochanteric osteotomy (seven
patients) or compression hip screw fixation (one patient). The femoral shaft
nonunion proved more difficult than expected to treat with some patients with
femoral shaft nonunions requiring more than one operative procedure to achieve
union. Lag screw fixation of the femoral neck fracture and reamed intramedullary
nailing for shaft fracture stabilization were associated with the fewest
complications. Therefore, this approach is recommended as the treatment of
choice.

PMID: 12011697 [PubMed - indexed for MEDLINE]

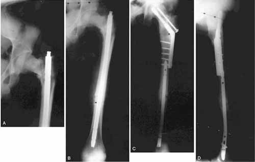
Fig 2A-D. Nonunion of the femoral neck and shaft is shown. (A) Varus nonunion with shortening of the femoral neck, resulting from early removal of proximal lag screws from the neck fracture for what was thought to represent hardware irritation is shown. (B) Radiograph shows varus nonunion in the proximal femur and a femoral shaft nonunion. (C) Radiograph taken at 4-year followup shows healed proximal femoral neck and shaft nonunions treated with a valgus intertrochanteric osteotomy and a reamed retrograde intramedullary nail. (D) Lateral view shows healing of the neck and shaft nonunion components.