Date: Tue, 22 May 2001 20:16:59 +0600

Subject: Comminuted Distal Femur Fx

Hello all,

A male 22 years old referred to us from another town. More than 1 month ago (Apr 20) he was injured in a car accident. Among other injuries there was an open distal femoral fracture which hasn't been surgically fixed yet, only traction applied. There are scabs at anterolateral surface over the fracture site even today. No signs of infection though. Fracture mobility is aready limited. What treatment options do you consider for the case? THX in advance.

Best regards, Alexander N. Chelnokov, Ural Scientific Institute of Traumatology and Orthopaedics, str.Bankovsky, 7. Ekaterinburg 620014 Russia



Reply at: Orthopaedic Trauma Association forum

Date: Tue, 22 May 2001 13:19:12 -0500

From: Adam Starr

Hi Alex.

I think I would probably use a cast brace to try to get him up and moving, and try to get some motion at his knee. Once he was healed, I'd try to reconstruct his joint.

I hate to leave the joint surface like it is, but I think opening it now with the scabs is dangerous - you might run into infection - and I think that any surgery now would require taking down a lot of callus.

Operating on a hyperemic, mushy, partially healed fracture is no fun.

By waiting, at least you can hopefully avoid operating on mushy bone, and can have something solid to affix your plate to, so you can restore alignment.

Of course, after surviving such an injury, he may heal up and not want you to touch him again.

Adam Starr, Dallas, Texas


Date: Wed, 23 May 2001 16:15:44 -0400

From: William Obremsky

Bad injury, but I would consider internal fixation. Operating on 4 week old distal radius fxs in not uncommon and encouraged for early rmalunions (Jupiter). He has excellent bone stock and you should not have a problem identifying fx fragments. Technique is dependent on what you have available and are comfortable with. A LISS would be ideal, but a condylar buttress w/ lag screws could work. Just do something.

Bill Obremskey MD MPH
Univerity of North Carolina


Date: Thu, 24 May 2001 13:54:50 -0500

From: Anglen, Jeffrey

I doubt this will heal without internal fixation and grafting. I would operate as soon as the soft tissues are intact (no scabs). Get the joint surface together with lag screws, then use a locking condylar plate (or whatever you have) Some might nail it.

JOA


Date: Thu, 24 May 2001 16:20:46 -0500 From: Steven Rabin

ditto to the above. waiting just makes it harder with more rounding of bone ends, ingrowth of callus and scar tissue, and atrophy of muscle with contracture of soft tissues. Fix it as soon as safe so that you can get the patient moving.


Date: Thu, 24 May 2001 13:02:10 -0600

From: Thomas A. DeCoster

22 year old 4 weeks after distal femur fracture. Very comminuted metaphysis with some displacement. Intra-articular with some displacement. At least 2 condylar fragments. Most of the comminution appears metaphyseal. Probably grade 2 open soft tissue injury.

I would suggest fixation of the two main distal femur fragments with as limited surgical approach as possible (fluroscopy, percutaneous) accepting some minor imperfection. If the soft tissue allows consider retrograde femoral nail. If soft tissue is too much of a concern then a temporary spanning XF or brace.

I would not try to put all of these pieces back together anatomically and fix them solidly with a plate due to too much risk (would require very extensive soft tissue dissection) for the potential benefit and the low likelihood of getting a great reduction.

Some would definitely recommend aggressive ORIF.

Tom DeCoster


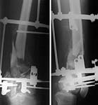
Date: Fri, 25 May 2001 19:28:45 +0600

From: Alexander Chelnokov

Hello All,

THX for all your suggestions.

We decided to manage the case with closed ex-fix at the moment, with maybe autografting in case of bone loss. I perfomed some kind of "wireless Ilizarov" with separate fixation of both condyles. I am not too happy with current xrays and plan to perform gradual correction. It seems to me that condyles are overreduced to flexion. The device looks stable enough so tibial extension IMHO is not needed. When i give up with correction i'll insert olive wires into condyles and remove half-pins. See attachment for X-rays and view of the device.

Best regards, Alexander N. Chelnokov, Ural Scientific Institute of Traumatology and Orthopaedics, str.Bankovsky, 7. Ekaterinburg 620014 Russia


Date: Fri, 25 May 2001 09:41:25 -0400

From: Kevin Pugh

From the look of the soft tissues in your email, I don't think there was a contra-indication to open, anatomic reduction and rigid fixation of the joint surface. After that, how you put the joint back on the shaft is dealer's choice.

kp

Kevin J. Pugh, MD
Director of Orthopaedic Trauma
The Ohio State University


Date: Fri, 25 May 2001 15:48:50 +0200

From: Josep M. Munoz Vives

I think early fixation is good for the patient and I'm fond of retrograde nailing, but IMHO this fracture can't be treated by nailing.

The more distal fracture line is level with the superior part of the intercondylar notch, as the lower part of the retrograde nail is level with the supracondylar notch, no screw will get purchase in the distal fragment. So do whatever you like more (cast, ex-fix, condylar plate...) but please don't nail it, because you'll get a bad result and will not give credit to the technique anymore.

As any other technique retrograde nailing of the femur has precise indications and this is not one.

Dr. Josep M. Munoz-Vives
Orthopedic Surgery Dept.
Hospital Dr. Josep Trueta
Girona - Catalunya
Spain