Date: Date: Fri, 03 Jun 2005 22:37:40 +0530

Subject: Elbow and wrist injury

From: tigeorge

Friends,

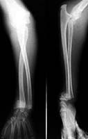
This 14 year old boy presented with closed injury to ipsilateral elbow and wrist.I hope that the pictures are clear (Elbow dislocation, radial neck fracture and distal radial epiphyseal injury).

I would welcome your thoughts on it's management.

Dr. T. I.George
Head of Ortho Unit III
Little Flower Hospital
Angamaly, India


Reply at: Orthopaedic Trauma Association forum

Date: Tue, 7 Jun 2005 11:08:26 -0500

From: Obremskey, William T

Close reduce and pin wrist, then close reduce elbow and proximal radius fx. If prox radius will not reduce, open it. Hold elbow flexed and pronated for 10-14 days and begin ROM.


From: Andonov MD

Date: Tue, 7 Jun 2005 22:13:58 +0300

Closed reduction and pinning of the wrist fracture.Closed reduction of the elbow dislocation and Metazeau closed reduction of the proximal radial fracture. 25 day of immobilization followed by ROM.


From: Timothy Bray, MD

Date: Tue, 7 Jun 2005 20:41:28 -0700

Pictures are clear, would close reduce the elbow then assess stability and position of radial head, may need additional reduction, possible fixation, would be hard pressed to excise. The wrist should be easily reduced and probably percutaneous cross pinned with K-wires, usually does not need external fixation. Distal radius fractures in this age group are tough to hold with casting alone.

Bray


Date: Wed, 8 Jun 2005 13:28:37 -0400

From: David Goetz, MD

JPG barely good enough for this simple fx, not adequate for the usual more complex things posted on this list.

Close reduction x 2, single pin in radius.

David R. Goetz MD
Medical Director, Orthopaedic Trauma


Date: Fri, 10 Jun 2005 17:18:13 +0530

From: T.I. George

I hope that this mail will reach the list. Thank you all for the responses. We did closed reductions and POP above elbow slab for immobilisation. I am trying to attach the pictures for your viewing. My worry was if we try to add k wires for stability at the ends of radius, whether that will add insult to injury with regard to growth since both the epiphysis were involved. I would welcome your comments.

Dr. T. I.George
Head of Ortho Unit III
Little Flower Hospital
Angamaly, India


From: tmschaller

Date: Fri, 10 Jun 2005 14:15:53 +0000

looks nice. i bet would be fine either way - pins or not...

tom schaller
kalamazoo michigan


From: Jeff Brooks

Date: Fri, 10 Jun 2005 15:21:43 -0400

Question about distal radius fractures:

What about the great debate of position of long-arm immobilization for "dorsally angulated" (i.e., dorsally displaced, apex-volar-angulaed) distal radius fxs?

This case is different since both ends of the "forearm joint" (the DRUJ and the PRUJ analagous to 2 condlyes of a single synovial joint) are involved and inevitably, without pins, the position of prono-supination must be considered in holding the radial neck.

BUT....to supinate a dorsally displaced Fx and bring the brachioradialis volar to act as a flexor at the fracture site (and diminish the extension tendency at the Fx site), or to pronate and allow "gravity", or magic, to hold the reduction. <

I personally believe in supination as the dynamic effects of the BR are indisputable (a radial deviator of the distal piece and, when supinated, a flexor of the distal fragment)

I'd love to hear the thoughts of those more experienced than me.

Jeffrey J. Brooks, MD

Orthopaedic Trauma
Hand & Upper Extremity Surgery
Stamford, CT


From: Bill Burman

Date: 12 Jun 2005 17:45:43

>What about the great debate of position of long-arm immobilization for "dorsally angulated" (i.e., dorsally displaced, apex-volar-angulaed) distal radius fxs?

In residency we were assigned to read Sarmiento et al JBJS 57A 311 which supported supination for Colles fractures.

Bill Burman, MD
HWB Foundation

Date: Mon, 13 Jun 2005 09:59:59 +0600

From: Alexander Chelnokov

Hello Bill,

BB> by A. Sarmiento et al JBJS 57A 311 which supported supination for Colles fractures.

At least using Ilizarov for any forearm fractures, including distal radius, neutral position is successfully used, neither supinaton nor pronation.

Best regards,

Alexander N. Chelnokov
Ural Scientific Research Institute of Traumatology and Orthopaedics
Ekaterinburg 620014 Russia