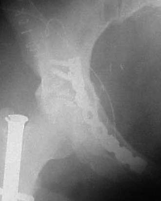
Look at your dome axial postoperative image...see the acetabular side fracture impaction injury adjacent to the dome medially?...also see the minimal residual fracture distraction? these two situations combined cause the femoral head to be incompletely centered beneath the dome (seen on the 3rd axial postop image)...see how the head is only slightly medially located relative to the dome???
![]() |
Through this exposure, using a preferential anterior clamp application, the reduction is "eccentric", and this is the result. The transverse fracture's reduction must be "balanced", and then similarly balanced fixation supports such a reduction...the anterior plate as shown does not provide balanced fixation for this particular fracture pattern.
![]() |